网站首页
关于我们
产品中心
技术服务
促销&试用装
最新资讯
联系我们
技 术 服 务
分子实验
细胞实验
蛋白实验
病理实验
动物实验
超微影像
整体课题服务
病理实验
当前位置:首页 > 技术服务 > 病理实验
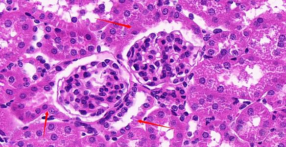
HE染色
Masson染色
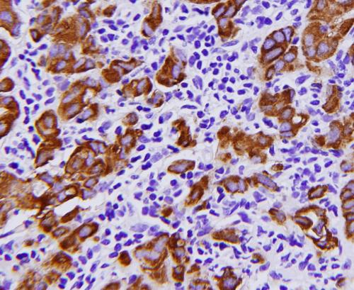
免疫组化
TUNEL染色
特殊染色
9
[1]
:
页次:1/1页 共5条记录 20条/页
关于我们
公司简介
企业文化
企业荣誉
产品展示
分子系列
细胞系列
蛋白系列
病理系列
耗材系列
其他系列
技术服务
分子实验
细胞实验
蛋白实验
病理实验
动物实验
超微影像
整体课题服务
最新资讯
行业资讯
公司资讯
相关知识
联系我们
地址:广州市黄埔区瑞和路79号2期12楼
电话:020-32206519
E-mail:nonghailianbest@163.com
网址:www.seyotin.com
版权所有:广州水云天生物科技有限公司 技术支持:
粤企科技
粤ICP备2021131005号